주소 : 대구광역시 남구 장전1길 193
대표자명 : 김지웅 | 사업자 등록번호 : 497-23-006564
의료기관 명칭 : 큐브치과의원
전화번호 : 010-8720-3381
첨단장비 소개
CUBE DENTAL CLINIC
치과 진료의 신세계
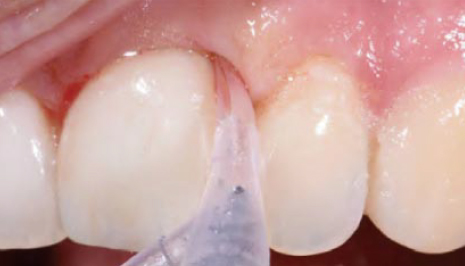
에어폴리셔
아쿠아케어
#치주치료 #임플란트 치주치료 #착색제거
#교정 브라켓 돈딩전 클리닝 # 교정후 브라켓 클리닝

임플란트 주위염 치료

교정 브라켓 클리닝

레진 수복전 샌드 블라스팅

보철물 세팅 전 샌드 블라스팅

정밀하고 신속한 진료를 위한 첨단 장비
3D 디지털 구강스캐너
트리오스 ( TRIOS)
세계 1위 덴마크 3Shape사의 첨단 디지털 기기입니다.
최단 스캐너를 통해 환자분의 구강 정보를 얻고 컴퓨터 디자인(CAD)를 통해 최적화된 보철물을 디자인합니다.

치아교합 측정
측방교합 움직임 스캔을 보철 디자인에 적용하여 정확한 보철 제작가능

치아 이동 비교
시간경과에 따른 치아 변화를 측정하여 치료 이해도 향상 및 우식 진행 정도 비교가능

교정 시뮬레이션
3D 시뮬레이션을 통한 교정 전/후 비교,
개별치아 즉시 이동을 통한 교정환자 상담용이

전치치료 전후 비교
전치부 보철 치료 전/후를 잇몸의 형태, 색상, 배열등을 시각적으로 비교


골융합 안정도 측정기

3D cone-Beam CT (CBCT)
마취관련 장비 및 약물

BM5 환자감시장치

수면약물 및 진통제
진단 및 기타 진료

큐레이

턱관절 물리치료기

치아미백기
소독 및 수질관리
국내 대학병원 수관관리 시스템
아쿠아덴탈
연세일등치과는 사용 직전 정수 시스템 (Point Of Use)인 아쿠아덴탈을 도입하여 안전하고 마실 수 있는 치과진료수를 사용하고 있습니다.

1. 사용 직전 정수 시스템
2. 세균 바이러스 99.99% 사멸 및 바이오필름 제거
3. 마실 수 있는 진료수
반도체 클린룸 에어 드라이어
제마코에어드라이어
연세일등치과는 깨끗하고 안전한 공기를 사용하기 위해 반도체 클린룸에도 들어가는 프리미엄 에어드라이어를 사용하고 있습니다.
1. 반도체 클린룸 수준의 깨끗한 공기
2. 접착치료에 중요한 건조된 공기


오토클레이브

콰트로케어

플라즈마 멸균기


